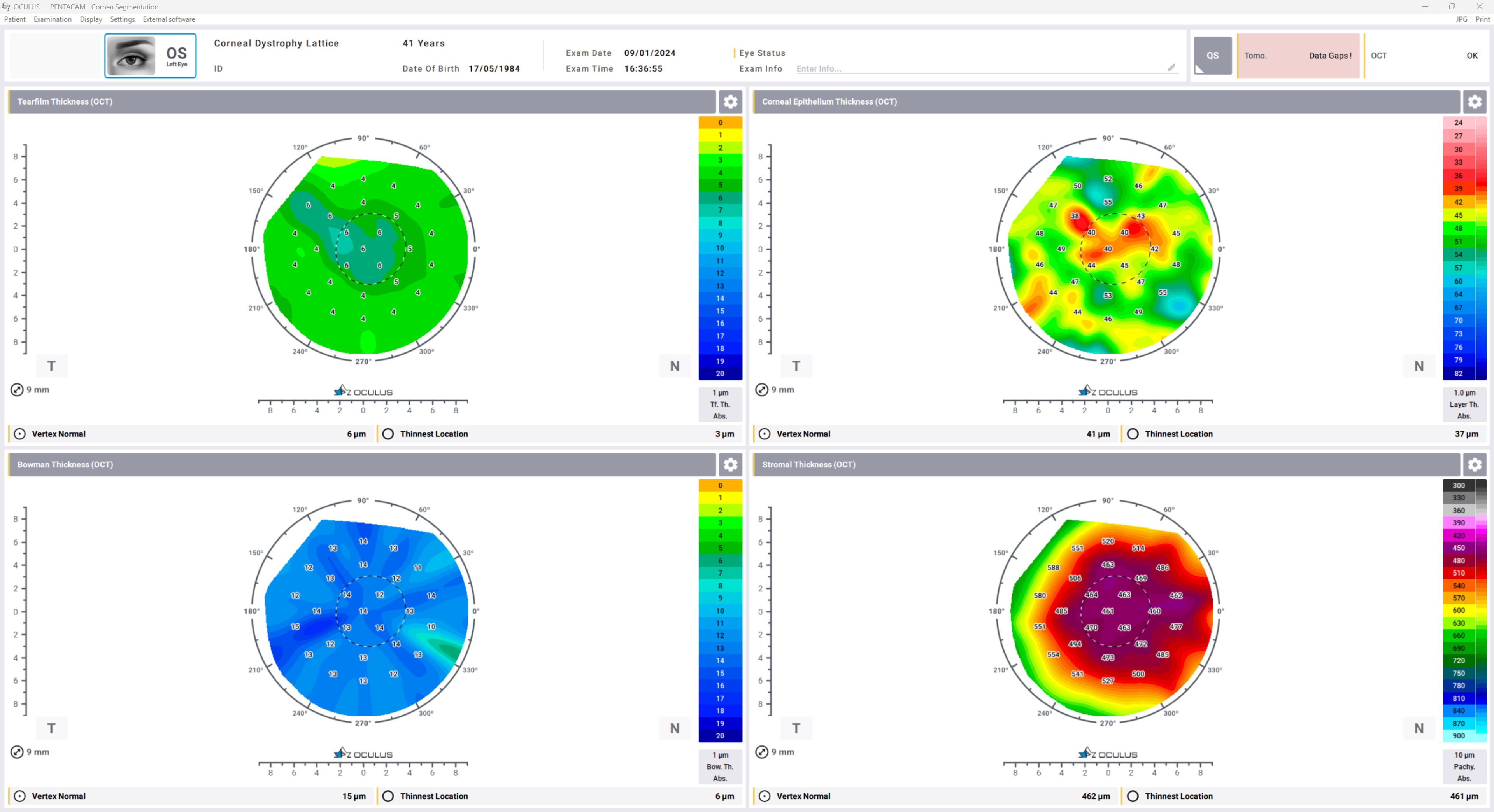
Oculus has introduced its new Cornea Segmentation Display for the Pentacam Cornea OCT. This software leverages ultra high-resolution images of the cornea’s microstructure, all captured in a single, rapid scan. According to Oculus, by pairing ultra high-resolution Optical Coherence Tomography (OCT) with Oculus' established Scheimpflug imaging technology, the Pentacam Cornea OCT provides clinicians with an unmatched view of corneal anatomy. The newly developed segmentation display clearly reveals the tear film, epithelium, bowman’s layer, and stromal layer, supporting enhanced analysis and more precise diagnostics.
Oculus will showcase the Cornea Segmentation Display under the motto “See the Unseen” at the upcoming ESCRS Congress in Copenhagen (September 12-16). Attendees can explore the technology first-hand at Oculus booth C2.017 and gain deeper insights during the Oculus Symposium on September 13 at 1:00 pm in Room A3.
The ability to visualize corneal microstructures with such clarity helps eye care professionals detect abnormalities at earlier stages, potentially improving treatment outcomes.

For detailed information, visit www.pentacam-cornea-oct.com.